Exámenes Ginecológicos

Ecografías Ginecológicas

Ecografías Ginecológicas y obstétricas en Lima

Las ecografías ginecológicas son una herramienta fundamental para evaluar la salud del aparato reproductor femenino. Mediante el uso de ultrasonidos, este procedimiento no invasivo proporciona imágenes detalladas del útero, los ovarios, las trompas de Falopio y otras estructuras pélvicas, facilitando el diagnóstico de diversas condiciones médicas.

Gracias a su capacidad para detectar alteraciones en tiempo real, las ecografías ginecológicas permiten identificar desde quistes ováricos y miomas uterinos hasta problemas más complejos como la endometriosis o el síndrome de ovario poliquístico. Además, son esenciales en el seguimiento del embarazo, la evaluación de sangrados anormales y el control de tratamientos hormonales o de fertilidad.

Este estudio es seguro, indoloro y puede realizarse de manera transabdominal o transvaginal, dependiendo de la necesidad clínica. Su importancia radica en la posibilidad de detectar enfermedades en sus primeras etapas, aumentando las probabilidades de un tratamiento eficaz y evitando complicaciones futuras.

Centro de Ecografías Ginecológicas en Lima

Ecografía Transvaginal

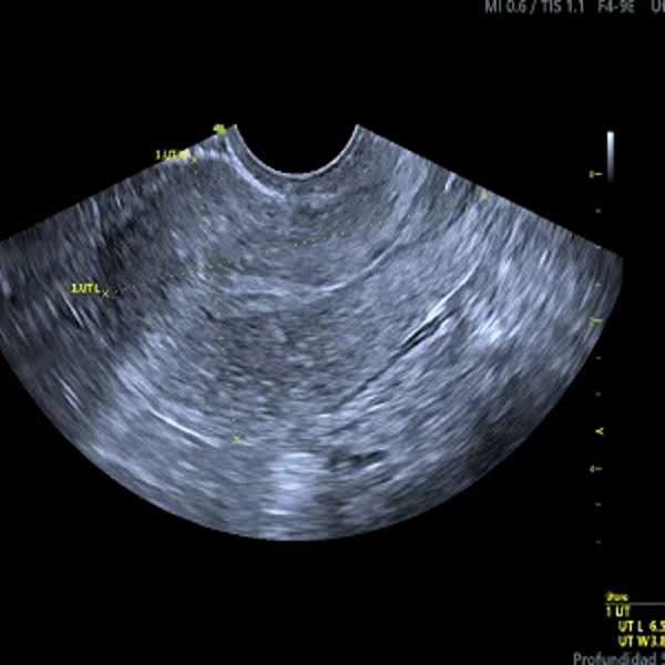
La ecografía transvaginal es un estudio de diagnóstico por imágenes que permite visualizar con alta precisión el útero, los ovarios y el endometrio. Se realiza introduciendo una sonda delgada en la vagina, lo que proporciona imágenes detalladas para detectar quistes, miomas, endometriosis, embarazos ectópicos y otros trastornos ginecológicos. Es un procedimiento seguro, indoloro y rápido, utilizado también en tratamientos de fertilidad y en el control del embarazo temprano. Su precisión lo convierte en una herramienta clave para el diagnóstico y monitoreo de la salud reproductiva femenina.

Ecografía Transvaginal Doppler

La ecografía transvaginal Doppler es un estudio avanzado que, además de proporcionar imágenes detalladas del útero, los ovarios y el endometrio, evalúa el flujo sanguíneo en la zona pélvica. Es clave para detectar alteraciones vasculares, como tumores, quistes o problemas en la circulación que puedan afectar la fertilidad o el embarazo. Este procedimiento es seguro, indoloro y de gran precisión, permitiendo un diagnóstico más completo en casos de endometriosis, síndrome de ovario poliquístico o control de embarazos de alto riesgo.

Ecografía Obstétrica

La ecografía obstétrica es un estudio por ultrasonido que permite evaluar el desarrollo y bienestar del bebé durante el embarazo. Se utiliza para confirmar la gestación, determinar la edad gestacional, monitorizar el crecimiento fetal, detectar malformaciones congénitas y controlar la cantidad de líquido amniótico y la placenta. Dependiendo de la etapa del embarazo, puede realizarse por vía abdominal o transvaginal. Es un procedimiento seguro, indoloro y fundamental para el seguimiento prenatal, garantizando un control adecuado tanto de la madre como del bebé.

Ecografía Obstétrica Doppler

La ecografía obstétrica Doppler es un estudio avanzado que, además de visualizar el desarrollo del feto, evalúa el flujo sanguíneo en la placenta, el cordón umbilical y otras estructuras maternas y fetales. Es fundamental para detectar problemas en la circulación que puedan afectar el crecimiento del bebé, como insuficiencia placentaria o preeclampsia. Se usa especialmente en embarazos de alto riesgo para garantizar un adecuado suministro de oxígeno y nutrientes. Es un procedimiento seguro, indoloro y clave para el seguimiento prenatal en casos donde se requiera un control más detallado.

Ecografía Pélvica

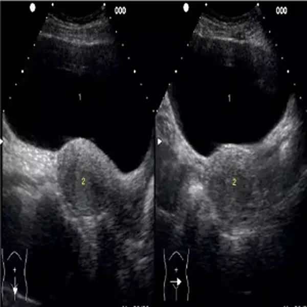
La ecografía pélvica es un estudio por ultrasonido que permite evaluar los órganos dentro de la pelvis, como el útero, los ovarios, las trompas de Falopio y la vejiga. Se utiliza para detectar quistes, miomas, infecciones, alteraciones en el endometrio y otras condiciones ginecológicas, además de ser útil en el seguimiento del embarazo temprano. Puede realizarse de forma transabdominal, con la sonda sobre el abdomen, o transvaginal, para obtener imágenes más detalladas. Es un procedimiento seguro, indoloro y fundamental para el diagnóstico y control de la salud reproductiva femenina.

Ecografía 3D | 4D | 5D HDlive

La ecografía HDLive es una tecnología avanzada de ultrasonido en 3D y 4D que ofrece imágenes de alta resolución y realismo del feto durante el embarazo. Gracias a un sofisticado sistema de iluminación y sombreado, permite visualizar con gran detalle los rasgos faciales, movimientos y gestos del bebé en tiempo real. Es especialmente utilizada para mejorar la experiencia de los padres y facilitar la evaluación médica del desarrollo fetal. Segura e indolora, esta ecografía proporciona una visión más clara y emocionalmente impactante del bebé antes de su nacimiento.

Ecografía Morfológica

La ecografía morfológica es un estudio detallado que se realiza entre las semanas 18 y 24 de embarazo para evaluar el desarrollo anatómico del feto. Permite examinar órganos, extremidades, columna, corazón y cerebro, detectando posibles malformaciones congénitas. También analiza la placenta, el líquido amniótico y el cordón umbilical, asegurando un adecuado crecimiento del bebé. Es un procedimiento seguro e indoloro, fundamental en el control prenatal para identificar anomalías y planificar intervenciones médicas si es necesario.

Ecografía Morfológica 3D | 4D

La ecografía morfológica 3D/4D es un estudio avanzado que combina el análisis detallado de la anatomía fetal con imágenes tridimensionales en tiempo real. Se realiza entre las semanas 18 y 24 del embarazo para evaluar el desarrollo de órganos, extremidades y el sistema nervioso, permitiendo detectar posibles malformaciones congénitas. La tecnología 3D ofrece imágenes estáticas de alta resolución, mientras que la 4D muestra los movimientos del bebé en tiempo real. Es un procedimiento seguro e indoloro que proporciona un diagnóstico preciso y una experiencia más emocional para los padres.

Ecografía Genética

La ecografía genética es un estudio especializado que se realiza entre las semanas 11 y 14 del embarazo para evaluar el riesgo de anomalías cromosómicas en el feto, como el síndrome de Down. A través de la medición de la translucencia nucal y la observación de marcadores genéticos en órganos y estructuras fetales, permite identificar posibles alteraciones en el desarrollo. Suele complementarse con pruebas como el test de ADN fetal en sangre materna o el screening combinado del primer trimestre. Es un procedimiento seguro e indoloro que ayuda a detectar precozmente condiciones genéticas y orientar el seguimiento prenatal.

Ecografía Genética Doppler de Arterias Uterinas

La ecografía genética Doppler de arterias uterinas es un estudio que se realiza entre las semanas 11 y 14 del embarazo para evaluar el flujo sanguíneo en las arterias uterinas y detectar el riesgo de complicaciones como preeclampsia o restricción del crecimiento fetal. Se complementa con la medición de la translucencia nucal y otros marcadores genéticos para estimar la probabilidad de anomalías cromosómicas. Es un procedimiento seguro e indoloro que permite un diagnóstico temprano y un mejor seguimiento del embarazo, ayudando a prevenir complicaciones maternas y fetales.

Ecografía de mamas

La ecografía de mamas es un estudio por ultrasonido que permite evaluar el tejido mamario en detalle, detectando quistes, nódulos, tumores o alteraciones en las glándulas mamarias. Se utiliza como complemento de la mamografía, especialmente en mujeres jóvenes con tejido mamario denso, y es clave en el diagnóstico de enfermedades benignas o cancerígenas. Es un procedimiento seguro, indoloro y no invasivo, ideal para el control preventivo y el seguimiento de anomalías detectadas en exámenes previos.

Reserva tu cita

Déjanos tus datos y nos estaremos comunicando contigo.

Contact Form

(*) Campos obligatorios.

STAFF MÉDICO

Especialistas en ecografías ginecológicas

Nuestra Clínica Ginecológica, cuenta con los mejores ginecólogos de Lima, profesionales altamente capacitados y comprometidos con tu bienestar. Con años de experiencia, brindan atención personalizada y de calidad para cuidar de tu salud femenina en cada etapa de tu vida. ¡Confía en nuestros ginecólogos especialistas!

Opiniones de nuestros pacientes

Nos enorgullece ofrecer una atención excepcional respaldada por las experiencias de nuestras pacientes, quienes comparten su satisfacción con la calidad de nuestros servicios ginecológicos, el compromiso de nuestros ginecólogos y los resultados obtenidos en nuestra Clínica Ginecológica. Tu salud femenina es nuestra mayor prioridad, y cada testimonio refuerza nuestro compromiso con la excelencia.

Preguntas Frecuentes sobre las Ecografías Ginecológicas

¿Qué es una ecografía ginecológica?

La ecografía ginecológica es un examen médico no invasivo que utiliza ondas de ultrasonido para generar imágenes en tiempo real de los órganos reproductores femeninos, como el útero, los ovarios y las trompas de Falopio. Es una herramienta fundamental en la evaluación ginecológica, ya que permite detectar alteraciones estructurales, monitorear tratamientos y apoyar diagnósticos de forma segura y precisa.

¿Qué tipos de ecografías ginecológicas existen?

Existen principalmente dos tipos de ecografías ginecológicas:

  • Ecografía pélvica abdominal: se realiza colocando un transductor sobre el abdomen y permite una visión general de la pelvis. Es ideal en pacientes que no han iniciado vida sexual o como evaluación inicial.
  • Ecografía transvaginal: se realiza mediante la introducción de una sonda delgada en la vagina, lo que proporciona imágenes más detalladas y de mayor resolución, especialmente útiles para evaluar el endometrio y los ovarios.

¿La ecografía ginecológica duele?

La ecografía ginecológica es un procedimiento generalmente indoloro. En el caso de la ecografía abdominal, solo se siente la presión del transductor sobre el abdomen. En la ecografía transvaginal, puede haber una ligera molestia debido a la introducción de la sonda, pero no debería causar dolor significativo. El procedimiento es rápido y bien tolerado por la mayoría de las pacientes.

¿Cuándo se recomienda realizar una ecografía ginecológica?

Se recomienda realizar una ecografía ginecológica en diversas situaciones clínicas y como parte del control preventivo. Entre las principales indicaciones se encuentran:

  • Dolor pélvico persistente o recurrente
    Permite identificar posibles causas como quistes ováricos, infecciones, endometriosis o alteraciones uterinas que pueden estar generando el dolor.
  • Sangrado uterino anormal o irregularidades menstruales
    Ayuda a evaluar el endometrio y detectar condiciones como pólipos, miomas o desequilibrios hormonales que afectan el ciclo menstrual.
  • Sospecha de quistes ováricos, miomas o pólipos
    Facilita la visualización directa de estas alteraciones, permitiendo confirmar su presencia, tamaño, ubicación y características.
  • Evaluación de fertilidad o seguimiento de tratamientos reproductivos
    Es fundamental para monitorear la ovulación, el desarrollo folicular y la respuesta a tratamientos de reproducción asistida.
  • Control ginecológico de rutina
    Se utiliza como parte del chequeo preventivo para detectar de manera temprana cualquier anomalía, incluso en ausencia de síntomas.
  • Confirmación y seguimiento del embarazo en etapas tempranas
    Permite verificar la ubicación del embarazo, evaluar su evolución inicial y descartar complicaciones como el embarazo ectópico.

¿Cómo debo prepararme para una ecografía ginecológica?

La preparación depende del tipo de ecografía:

  • Ecografía abdominal: se recomienda acudir con la vejiga llena, ya que esto mejora la visualización de los órganos pélvicos. Generalmente se sugiere beber entre 3 a 4 vasos de agua una hora antes del examen y evitar orinar.
  • Ecografía transvaginal: no requiere preparación especial; se recomienda acudir con la vejiga vacía para mayor comodidad durante el procedimiento.

¿Cuánto dura una ecografía ginecológica?

El tiempo de duración de una ecografía ginecológica suele ser breve, generalmente entre 15 y 30 minutos. Sin embargo, puede variar dependiendo del motivo del estudio, la complejidad del caso y si se requiere una evaluación más detallada de alguna estructura específica.

¿Es segura la ecografía ginecológica?

Sí, la ecografía ginecológica es un procedimiento completamente seguro. Utiliza ondas de ultrasonido y no emite radiación, por lo que puede repetirse las veces que sea necesario sin riesgos para la salud. Es ampliamente utilizada incluso durante el embarazo por su seguridad y eficacia.

¿Qué enfermedades puede detectar una ecografía ginecológica?

Este estudio permite identificar una amplia variedad de condiciones ginecológicas, entre ellas:

  • Quistes ováricos y masas anexiales
    Permite detectar formaciones líquidas o sólidas en los ovarios, evaluando su tamaño, contenido y características para determinar si son funcionales o requieren seguimiento.
  • Miomas uterinos (fibromas)
    Ayuda a identificar tumores benignos del útero, definiendo su ubicación y tamaño, lo cual es clave para orientar el tratamiento según los síntomas de la paciente.
  • Endometriosis y sus complicaciones
    Puede evidenciar quistes endometriósicos (endometriomas) y otras alteraciones asociadas, contribuyendo al diagnóstico en pacientes con dolor pélvico crónico.
  • Embarazo ectópico
    Permite detectar la implantación del embarazo fuera del útero, una condición que requiere diagnóstico temprano para evitar complicaciones graves.
  • Tumores benignos o malignos
    Facilita la identificación de masas sospechosas en órganos reproductores, ayudando a diferenciar características que orienten a estudios complementarios.
  • Alteraciones del endometrio, como hiperplasia o pólipos
    Evalúa el grosor y la estructura del endometrio, permitiendo detectar anomalías que pueden causar sangrado irregular o requerir tratamiento.

¿Cada cuánto tiempo debo hacerme una ecografía ginecológica?

Como parte del chequeo ginecológico preventivo, se recomienda realizar una ecografía al menos una vez al año. No obstante, la frecuencia puede variar según la edad, los antecedentes médicos y la presencia de síntomas, por lo que siempre debe ser indicada por el ginecólogo.

¿Puedo hacerme una ecografía durante la menstruación?

Sí, es posible realizar una ecografía ginecológica durante la menstruación. En algunos casos, incluso es el momento ideal para evaluar el endometrio o detectar ciertas patologías con mayor precisión. Sin embargo, la indicación dependerá del motivo del estudio y la recomendación médica.

Separa tu cita

Separa tu cita y nos estaremos comunicando contigo

Contact Form

(*) Campos obligatorios.